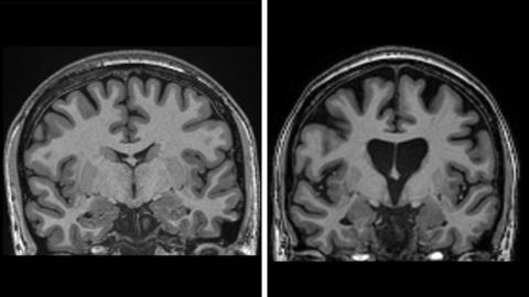
The first symptoms of Huntington's disease tend to appear in your 30s or 40s and is normally fatal within two decades – opening the possibility that earlier treatment could prevent symptoms from ever emerging.
Prof Tabrizi, director of the University College London Huntington's Disease Centre, described the results as "spectacular".
"We never in our wildest dreams would have expected a 75% slowing of clinical progression," she said.
None of the patients who have been treated are being identified, but one was medically retired and has returned to work. Others in the trial are still walking despite being expected to need a wheelchair.
Treatment is likely to be very expensive. However, this is a moment of real hope in a disease that hits people in their prime and devastates families.

